Hoje em dia, a saúde bucal é uma preocupação cada vez maior, e você merece o melhor quando se trata de cuidados com o seu sorriso!
Os exames realizados na Sim Radiologia são essenciais para que o seu dentista possa avaliar a saúde dos seus dentes, gengivas e maxila, além de identificar possíveis problemas de forma rápida e precisa. Com a ajuda de nossa tecnologia de ponta, o seu dentista conseguirá visualizar as imagens da boca em alta definição, o que permitirá um diagnóstico preciso e eficiente.
E não há motivo para se preocupar, pois todos os exames realizados em cada uma das nossas unidades são totalmente seguros e indolores.
A Tomografia Computadorizada Cone Beam é uma radiografia 3D que é bastante usada na odontologia para ter uma visão detalhada dos ossos da boca, mandíbula e maxila. Ela é muito útil para descobrir problemas como fraturas, tumores, cistos, infecções e outros problemas dentários. Além disso, a Tomografia Computadorizada Cone Beam também é usada para planejar cirurgias na boca, como a colocação de implantes dentários, como também para avaliar o desenvolvimento de tratamentos.
Na Tomografia Computadorizada Cone Beam, o paciente é posicionado na máquina de Raio-X, que gira ao redor da cabeça para fazer uma série de imagens 3D. Em seguida, um profissional especializado utilizando um software junta as imagens para formar uma visão detalhada das estruturas ósseas da boca.
Em resumo, a Tomografia Computadorizada Cone Beam é uma ferramenta valiosa na odontologia, no qual permite aos dentistas terem uma visão detalhada das estruturas ósseas da boca para diagnosticar e tratar problemas de saúde.




O Escaneamento Intra-oral é uma tecnologia moderna que é usada para criar modelos digitais precisos dos dentes e da boca dos pacientes, no qual é utilizado um scanner especializado para capturar imagens precisas em 3D dos dentes e das gengivas do paciente.
O processo é simples e rápido. O paciente senta-se na cadeira odontológica e o scanner Intra-oral é colocado na boca. O scanner usa luz e tecnologia de imagem para criar uma imagem digital dos dentes, que é exibida em um computador.
A partir dessas imagens, um modelo digital preciso da boca do paciente é criado. Isso é útil para uma variedade de procedimentos odontológicos, como por exemplo, planejamento de implantes e na ortodontia.


As Guias Cirúrgicas se tratam de uma tecnologia avançada no qual é usada para auxiliar os cirurgiões-dentistas em procedimentos complexos e delicados.
Essas guias são feitas sob medida para cada paciente e são usadas para orientar o cirurgião-dentista durante a cirurgia, garantindo maior precisão e segurança.
O processo começa com o Escaneamento Intra-oral da boca do paciente, que é usado para criar um modelo digital em 3D dos dentes e da estrutura óssea. A partir desse modelo digital, é criada uma guia cirúrgica personalizada para cada paciente.
Essa guia é impressa em 3D a partir do modelo digital, usando materiais seguros e esterilizáveis para uso em ambiente cirúrgico. Durante a cirurgia, a guia é posicionada na boca do paciente e o cirurgião-dentista segue as instruções precisas para garantir que o procedimento seja realizado com a maior precisão possível.
A confecção de guias cirúrgicas é particularmente útil em procedimentos de implante dentário, pois ajuda a garantir que os implantes sejam posicionados com precisão e que o implante fique corretamente alinhado com os dentes naturais do paciente.


A Radiografia Panorâmica é uma radiografia de boca que fornece uma visão ampla dos dentes, mandíbula e maxila. É usada na odontologia para ajudar a identificar problemas dentários, como cáries, infecções, fraturas e outros problemas ósseos. Além disso, a Radiografia Panorâmica também pode ser usada para planejar tratamentos dentários, como a colocação de próteses e implantes dentários, como também para avaliar o desenvolvimento de tratamentos já realizados.
Na Radiografia Panorâmica, o paciente é posicionado na máquina de Raio-X e precisa ficar parado por alguns segundos enquanto a máquina faz a imagem. A imagem resultante mostra uma visão ampla da boca, mandíbula e maxila, permitindo aos dentistas visualizarem as estruturas ósseas e dentárias de uma só vez.




A Radiografia Periapical é um tipo de radiografia odontológica usada para avaliar a saúde do tecido dentário, incluindo a raiz do dente e a área à sua volta, conhecida como a área periapical. É uma ferramenta importante na avaliação de problemas dentários, como cáries, inflamações, infecções, fraturas e outros problemas da raiz do dente.
Na Radiografia Periapical, o paciente coloca a boca na máquina de Raio-X e precisa ficar parado por alguns segundos enquanto a máquina faz a imagem. A imagem resultante mostra a raiz do dente, a área periapical e outras estruturas circundantes, permitindo ao dentista avaliar a saúde do tecido dentário e identificar qualquer problema presente.


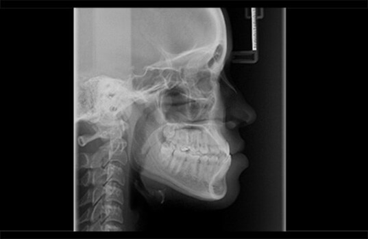
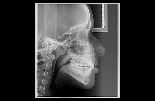
A Teleradiografia Lateral/Frontal é uma radiografia que serve para ver os ossos do crânio, mandíbula e pescoço. É usada na odontologia para descobrir problemas como fraturas, tumores, cistos, infecções, entre outros. Ela também é usada para planejar cirurgias na boca, avaliar o desenvolvimento de tratamentos como a colocação de implantes dentários e dar uma visão geral das estruturas ósseas e dentárias.
Também é comum que a Teleradiografia Lateral/Frontal seja combinada com outros exames radiográficos, como a panorâmica, por exemplo, para obter uma visão mais completa das estruturas ósseas e dentárias.


O exame ATM (Articulações Temporo-Mandibulares) é usado na odontologia para avaliar a saúde das articulações que conectam a mandíbula ao crânio. Estas articulações são importantes para a mastigação, fala e movimento da mandíbula. Problemas nessas articulações podem causar dor de ouvido, dor de cabeça, dor facial e dificuldade para abrir a boca.

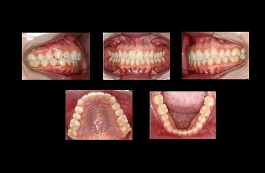
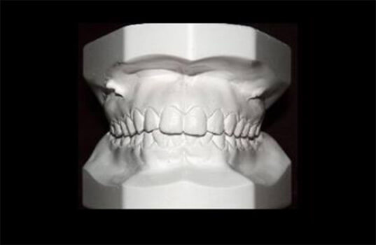
A documentação ortodôntica é um conjunto de exames usados para avaliar a posição dos dentes e das estruturas da boca, incluindo os maxilares, a mandíbula e as articulações Temporo-mandibulares. É uma ferramenta valiosa na avaliação e tratamento de problemas ortodônticos, como mordida aberta, apinhamento dentário, dentes torcidos ou desalinhados, e outros problemas estéticos ou funcionais da boca.
A documentação ortodôntica inclui radiografias, moldes de gesso da boca, fotografias, registros de movimento da mandíbula, entre outros. O dentista usa estas informações para avaliar a posição dos dentes, as relações dentárias e o funcionamento da boca como um todo. Com base nesta avaliação, o dentista pode decidir qual é o melhor tratamento ortodôntico para o paciente, se necessário.





A prototipagem é um processo de fabricação de modelos de dentes ou outras estruturas da boca, geralmente em material plástico ou resina. É usada na odontologia como ferramenta para avaliar e planejar tratamentos, especialmente na ortodontia, prótese dentária e cirurgia bucal.
A prototipagem é realizada com base em imagens radiográficas, modelos de gesso da boca ou outros registros. O material plástico ou resina é moldado para representar a boca do paciente, com seus dentes e outras estruturas. O modelo permite que o dentista ou ortodontista veja o problema em questão e simule diferentes opções de tratamento, antes de realizar qualquer procedimento na boca do paciente.
A prototipagem também é útil para testar ajustes de próteses dentárias, como dentaduras, antes de fabricá-los definitivamente. Além disso, pode ser usada para ensinar pacientes sobre o tratamento que irão receber, ajudando-os a compreender o processo e os resultados esperados.


